What Does Bone Cancer In The Mouth Look Like - Jaw Cancer Signs Symptoms Causes Diagnosis And Treatment / This can lead to insomnia, loss of appetite, and inability to carry out normal daily activities.
Dapatkan link
Facebook
X
Pinterest
Email
Aplikasi Lainnya
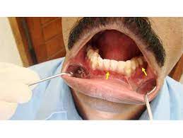
What Does Bone Cancer In The Mouth Look Like - Jaw Cancer Signs Symptoms Causes Diagnosis And Treatment / This can lead to insomnia, loss of appetite, and inability to carry out normal daily activities.. What bone metastasis looks like. Some of the most common oral cancer symptoms and signs include: Inner cheek cancer (also called buccal mucosa cancer) is a type of head and neck cancer that begins when the cells that make up the inner cheek grow out of control and form lesions or tumors. Patches on the lining of the mouth or tongue, usually red or red and white bleeding, pain, or numbness in the mouth mouth ulcers or sores that do not heal Taken by mouth or injection, they attack any cancer cells in the body.
With time they may spread inside the mouth and on to other areas of the head and neck or other parts of the body. Chemotherapy, hormone therapy, and immunotherapy target the main cancer. What does cancer in a cat's mouth look like? Without a blood clot over the socket, raw tissue, nerve endings, and bone are exposed. A canker sore looks like an ulcer, usually with a depression in the center.
Doctors Rebuilt Teacher S Jaw With Her Shoulder Bone After Mouth Cancer Daily Mail Online from i.dailymail.co.uk As the cancer develops, though, the pain may become more persistent. Early on, the pain may only occur at night, or when you are active. Leukoplakia (white and hardened patches) squamous cells is the name given to the flat cells that are present on the surface of the tongue, mouth and lips. Usually it's spotted first by your dentist, so keeping regular dental exams can help with early detection. With time they may spread inside the mouth and on to other areas of the head and neck or other parts of the body. Some contain a brief patient history which may add insight to the actual diagnosis of the disease. It's a type of head and neck cancer. Mouth cancers most commonly begin in the flat, thin cells (squamous cells) that line your lips and the inside of your mouth.
The bone pain is described as aching, throbbing, stabbing, and excruciating.
Jaw cancer results in pain in the area with difficulty in opening the mouth. As you review these images and their descriptions, you. Usually it's spotted first by your dentist, so keeping regular dental exams can help with early detection. What bone metastasis looks like. It will show the normal anatomy of the bone and the additional growth arising from the bone and we can see the exact dimensions of the cancer and its local extent of spread and invasion into the surrounding tissues. With time they may spread inside the mouth and on to other areas of the head and neck or other parts of the body. Early on, the pain may only occur at night, or when you are active. Each tumor looks like it's the original site of disease on the scans, suggesting that the bone tumors developed independently, at the same time, at multiple sites. This can lead to insomnia, loss of appetite, and inability to carry out normal daily activities. At first the ulcer is painless, but it later becomes painful. People with a fracture next to or through a bone tumor usually describe sudden severe pain in a bone that had been sore for a few months. Tongue cancer is a type of cancer that starts in the cells of the tongue, and can cause lesions or tumors on your tongue. Cancer in the bones of the spine can press on nerves, causing numbness and tingling or even.
Leukoplakia (white and hardened patches) squamous cells is the name given to the flat cells that are present on the surface of the tongue, mouth and lips. Sneezing, difficulties in breathing, nose bleeds or other nasal discharges are common symptoms. Treatment for dog mouth cancer. Some of the most common oral cancer symptoms and signs include: However, malignant cells can also spread to the jaw from other cancers in the neck and head, termed as secondary jaw cancer.
Floor Of The Mouth Cancer Illustration Stock Image C047 3799 Science Photo Library from media.sciencephoto.com Jaw cancer results in pain in the area with difficulty in opening the mouth. Treatment for bone cancer in dogs can vary depending on which bones are affected. The appearance of feline oral cancer can vary significantly, depending on the type of cancer and how far advanced the cancer is. This clot protects the wound while it heals and promotes new tissue growth. Other conditions, like osteoporosis or arthritis, may also cause bone or joint pain. Learn the signs of jaw cancer here. One of the most common questions asked by new members in canker sore forums, is what does a canker sore look like? which is understandable as there are many weird things that can happen in your mouth. Without a blood clot over the socket, raw tissue, nerve endings, and bone are exposed.
Some of the most common oral cancer symptoms and signs include:
Some of the most common oral cancer symptoms and signs include: Typically, a blood clot forms over your empty socket. Surgery is often the treatment of choice for dog mouth cancer, but it may not lead to a cure because the tumor often has already spread to other parts of the body. Cancer in the jaw often spreads there from other areas of the mouth or throat. Gum cancers may start out looking like a bump or a sore that does not heal. These cells are the most common grounds for mouth cancers. The bone pain is described as aching, throbbing, stabbing, and excruciating. Cancer in bone can cause intermittent or progressively severe localized bone pain where the cancer is in the bone. Treatment for dog mouth cancer. Soft palate cancer starts in the soft palate cells, which are on the upper portion of the back of your mouth, right behind your teeth. Symptoms are similar to more typical osteosarcomas except that they may occur in very young children and are more widespread. One of the most common questions asked by new members in canker sore forums, is what does a canker sore look like? which is understandable as there are many weird things that can happen in your mouth. The accumulating abnormal mouth cancer cells can form a tumor.
Each tumor looks like it's the original site of disease on the scans, suggesting that the bone tumors developed independently, at the same time, at multiple sites. It is a good imaging: At first the ulcer is painless, but it later becomes painful. Buccal mucosa is another name for the inside lining of the cheeks. The appearance of feline oral cancer can vary significantly, depending on the type of cancer and how far advanced the cancer is.
Metastatic Tumors To The Jaws A Report Of Eight New Cases from scielo.isciii.es Some of the most common oral cancer symptoms and signs include: Chemotherapy, hormone therapy, and immunotherapy target the main cancer. Other conditions, like osteoporosis or arthritis, may also cause bone or joint pain. Malignant cells in the jaw tend to spread quickly to adjacent organs. The sore may be red or white and may look like a thickening of the gum. At first the ulcer is painless, but it later becomes painful. Soft palate cancer starts in the soft palate cells, which are on the upper portion of the back of your mouth, right behind your teeth. The ulcer may bleed as the cancer grows.
Tongue cancer is a type of cancer that starts in the cells of the tongue, and can cause lesions or tumors on your tongue.
Unlike hard palate cancer, soft. Tongue cancer is a type of cancer that starts in the cells of the tongue, and can cause lesions or tumors on your tongue. Typically, a blood clot forms over your empty socket. People with a fracture next to or through a bone tumor usually describe sudden severe pain in a bone that had been sore for a few months. Treatment for bone cancer in dogs can vary depending on which bones are affected. Abnormal cell growth usually appears as flat patches. A large amount of bone and tissue surrounding the tumor may also have to be removed to eliminate the majority of cancerous cells at the site. Lumps on the roof of your mouth or along your gumline may be the only jaw cancer symptoms you experience. These cancers usually occur in the thin, flat cells called squamous cells that line the buccal mucosa and other parts of the mouth. Gum cancers may start out looking like a bump or a sore that does not heal. Bone cancer can weaken the bone it's in, but most of the time the bones do not fracture (break). It's a type of head and neck cancer. Cancer in the bones of the spine can press on nerves, causing numbness and tingling or even.
But do this succinctly in just one meaningful sentence. Your letter should detail your specific qualifications for the position and the skills you would bring to the employer. When a hiring manager reviews your job application letter, … 03.08.2021 · what's the best way to write a letter to apply for a job? Try to keep your job application letter to one page. 6 Tips For A Successful Job Application Gap Recruitment Services Ltd from www.gaprecruitment.co.ke Your job application letter is an opportunity to highlight your most relevant qualifications and experiences. Create a brief summary explaining why you are the best candidate for the position in just one sentence. When a hiring manager reviews your job application letter, … Finish up your application letter. Demonstrate your passion for the company or job and any past achievements you...
How To Know If You Have Womb Cancer : Dr. Brownstein Reveals the Warning Signs that May Mean You ... - While it's unlikely to be caused by womb cancer, it's best to. . How to reduce the risk. The majority occur with no obvious cause, however we know that an excess of oestrogen increases your risk as it can actively promote unwanted cell. Every day in the uk, 50 women are diagnosed with a gynaecological cancer. The most common symptom of womb cancer is bleeding from your vagina, particularly if you have been through the menopause. Womb cancer is the fourth most common cancer in women in the uk but very few women before her experience, she says she wouldn't have known anything about womb cancer. Abnormal vaginal bleeding is the most common symptom of womb cancer and the symptom that leads to the diagnosis of around 90% of cases, the charity says. How to reduce the risk. If you have stage1 cancer, you'll probably have a hysterectomy. Let's work t...
What Is The Best Compatible Sign For Cancer / Ofscs5mp9v5wvm : Still, cancer is a sign where mars falls and it is not easy for them to have initiative. . Among other zodiac signs, cancer and pisces seem to have the best love compatibility based on their compatible individual traits. That being said, when it comes to looking at the simplicity of sun signs and their compatibility, the best sign for the cancer man would be the cancer woman. You are a harmonious match as both of you are water signs and give priority to love; She is his counterpart in every way. Still, cancer is a sign where mars falls and it is not easy for them to have initiative. Cancer is one of the most sensitive and emotional signs of the zodiac. Cancer & cancer sexual & intimacy compatibility. When you want to find the best match for a cancer man, all you have to do is compare his personality traits with the characteristics of the other signs. They take time to figure out if the connection ...
Komentar
Posting Komentar